Lompat ke konten Lompat ke sidebar Lompat ke footer

46+ Megaloblastic Anemia Differential Diagnosis Pics

46+ Megaloblastic Anemia Differential Diagnosis Pics. Megaloblastic anemia is a type of macrocytic anemia that results from inhibition of dna synthesis during red blood cell production. Go to anemia ,chronic anemia ,megaloblastic anemia ,myelophthisic anemia ,hemolytic anemia ,and sideroblastic anemias for complete information on these topics.

THESIS ON MACROCYTIC ANEMIA
THESIS ON MACROCYTIC ANEMIA from i1.rgstatic.net
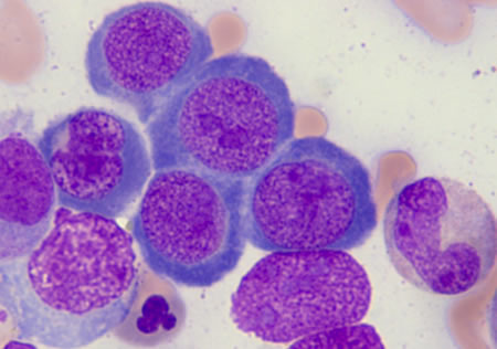
The differential diagnosis between mds and pernicious anemia solely on bone marrow biopsy is difficult (6,7,8). Comparisons may be useful for a differential diagnosis. Pernicious anemia, megaloblastic anemia of pregnancy, folic acid deficiency anemia, folate deficiency anemia, vitamin b12 deficiency anemia.

Megaloblastic anemia causes macrocytic anemia from ineffective red blood cell production and intramedullary hemolysis.

Megaloblastic (pernicious) anemia is more common in individuals of northern european descent. Megaloblastic anemia is a condition characterized by the formation of unusually large, abnormal and immature red blood cells called as megaloblasts in the bone marrow. Prevention of dna synthesis in new cells due to multiple factors may impact the growth of erythrocyte diagnosis and differential diagnostics of vitamin b12 deficiency. Megaloblastic anemia is a type of anemia characterized by very large red blood cells.

Posting Komentar untuk "46+ Megaloblastic Anemia Differential Diagnosis Pics"